
Top-Rated Orthodontists in Kirkland
Emerald City Orthodontics – Associations & Credentials

Among the Best Orthodontists in Kirkland
Meet Dr. Jiayu (Fiona) Shi, DDS, PhD
Your Top-Rated Family Orthodontist
- Board-Certified Orthodontist trained at UCLA and West China; founder of Emerald City Orthodontics.
- Specialist in MARPE/MSE expansion and airway-focused care, mentored by Dr. Won Moon.
- Award-winning researcher (IADR and UCLA) first-place honors, and featured in NASA/ISS bone-regeneration work.
- Published author in Nature Medicine and Journal of Dental Research.
- Former faculty member at the University of Michigan and University of Washington.


Meet Dr. Hsin-Chuan (Dan) Pan, DDS, MS
Your Top-Rated Family Orthodontist
- Orthodontist and Co-Founder of Emerald City Orthodontics, trained as UCLA Chief Resident in craniofacial biomechanics.
- Expert in Phase I–II treatment and coordinated surgical orthodontics.
- ASGSR award-winning researcher in bone biology, joint integrity, and craniofacial growth.
- Former UCLA Assistant Research Scientist with publications in leading orthodontic journals.
- Professional leader and active member in the AAO, PCSO, and NWCDA.
Starting Orthodontics is Easy
Schedule
Choose Your Plan
Same-Day Braces
Core Orthodontic Services – Orthodontic Treatment in Kirkland, WA

Braces
Traditional metal braces and self-ligating clear (ceramic) braces for effective teeth alignment.
Airway Orthodontics
Treatment using vertical pull chin cups, expanders, MARPE, or SARPE to correct skeletal issues and support better breathing.




Invisalign® Clear Aligners
Clear aligners suitable for patients of all ages, offering a discreet and comfortable alternative to braces.
Braces Removal
Professional removal of braces, followed by tooth polishing and custom retainer creation.




Orthodontics for Adults
Care for adults of all ages, with discreet braces and clear aligner options tailored for professionals.
Orthodontics for Children
Treatment for kids and teens starting at age 6, including early intervention and teen-friendly options.


Bite Problems & Airway Habits
Overbite
Underbite
Mouth Breathing
Tongue Thrust
Jaw Surgery
Gummy Smile
Crossbite
Open Bite
Crowding
Spacing


Cost & Insurance for Braces & Invisalign in Kirkland
At Emerald City Orthodontics – Kirkland Braces & Invisalign, we make orthodontic care simple and stress-free.
- Flexible payment plans are available for both braces and Invisalign.
- We accept all major PPO dental insurance and help with claims.
- Patients transferring from other practices are always welcome, and we’ll make the transition smooth.

Advanced Orthodontic Appliances
Palatal Expanders
Teeth Retainers
Herbst Appliances & Alternatives
Temporary Anchorage Devices (TADs)

Advanced Technology for Precise, Comfortable Orthodontic Care
- 3D X-Ray imaging: To view teeth, jaw, and airway for precise diagnosis.
- iTero Lumina digital scanner: No messy impressions, more accurate digital scans.
- 3D printing: Technology to create models and orthodontic appliances.
- Invisalign® clear aligners: A discreet, removable option for effective orthodontic treatment.
- LightForce™ clear braces: Fully customized, 3D-printed ceramic braces designed for precision and comfort.
- AI outcome simulation: To visualize treatment options and expected results.
- Light therapy: To accelerate tooth movement, helping potentially shorten treatment time.
- Remote monitoring tools: For better communication and tracking progress.
What Our Patients Say

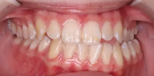
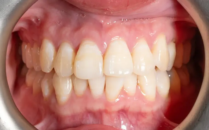
Smile Gallery: Invisalign & Braces Before‑and‑After in Kirkland
Invisalign/Clear Aligners
Braces
Inside Emerald City Orthodontics – Kirkland Braces & Invisalign
Step inside Emerald City Orthodontics and discover a state-of-the-art orthodontic office right here in Kirkland, WA.
Your Orthodontic Office in Kirkland
Located near popular landmarks such as Totem Lake Park, Juanita Bay Park, The Village at Totem Lake, and right next to Fred Meyer, our office is conveniently situated at 12305 120th Ave NE, Suite G, Kirkland, WA. We’re just minutes from I-405, making it easy to reach us from surrounding neighborhoods and nearby cities.
Minutes away from The Village at Totem Lake, Juanita Beach Park, and Bridle Trails State Park. Only 13 minutes from Downtown Bellevue and 15 minutes north of Redmond, our office is easily accessible and conveniently located for residents across Kirkland and the greater Eastside area.
Our practice proudly serves families throughout Kirkland, Redmond, Bothell, Woodinville, Bellevue, Totem Lake, Juanita, and Kingsgate, providing seamless access and a centrally located clinic for all your orthodontic needs.










