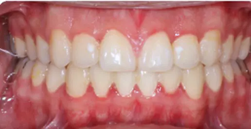
Before vs After Treatment
At Emerald Orthodontics, we are dedicated to helping our patients achieve healthier, more confident smiles. Our before-and-after gallery highlights real transformations, showcasing the exceptional results of orthodontic care provided by Dr. Jiayu (Fiona) Shi, DDS, PhD & Dr. Hsin-Chuan (Dan) Pan, DDS, MS. From correcting misalignments to crafting beautifully straight teeth, these images reflect the impact of expert treatment and advanced orthodontic techniques. Whether you’re exploring braces, clear aligners, or other options, let these success stories inspire your path to a perfect smile!
Before
After
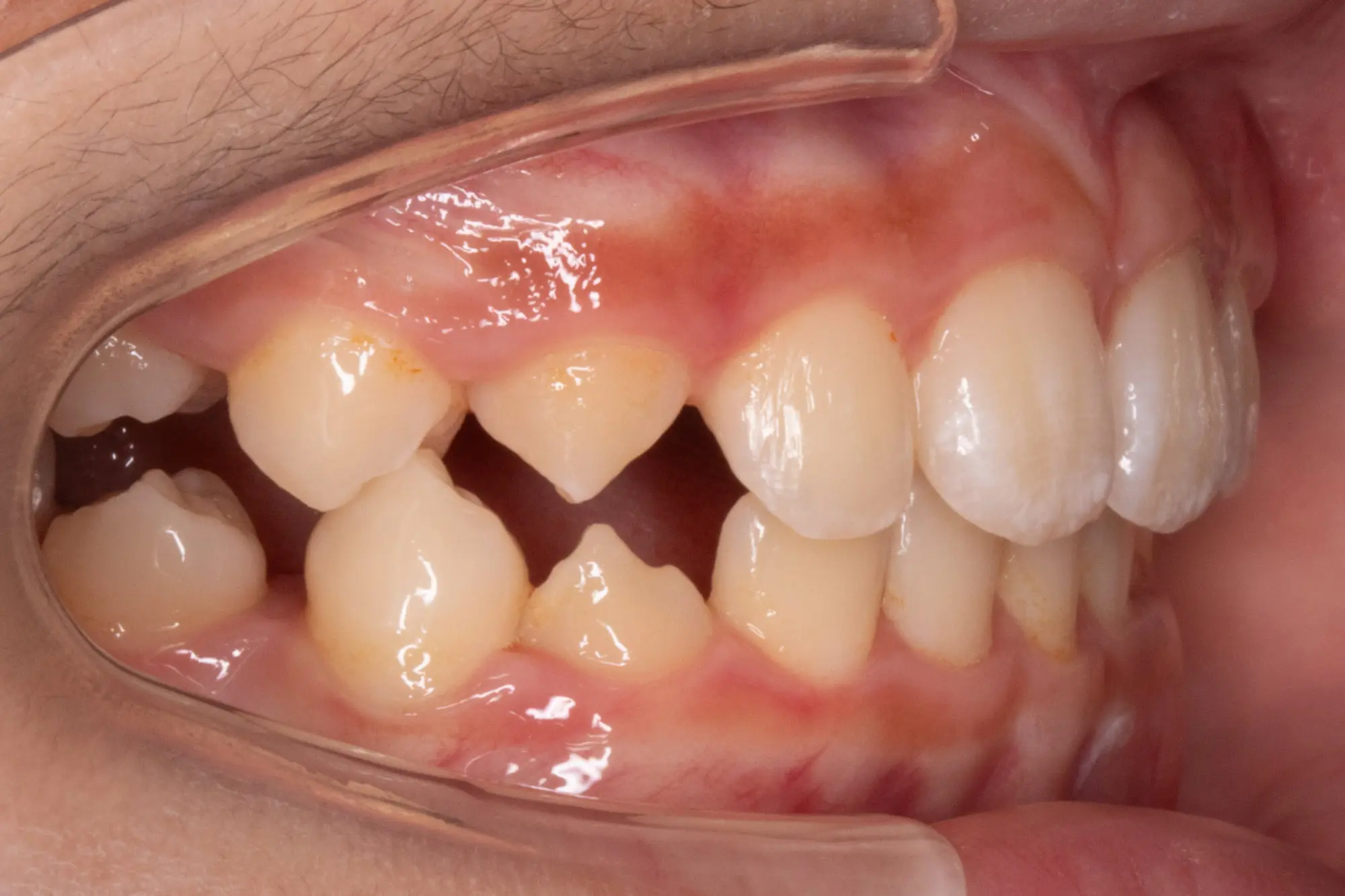
Crossbite/Uneven Bite
Before
After
Crossbite
Before
After
Crossbite
Before
After
Crossbite
Before
After
Crossbite
Before
After
Expansion
Before
After
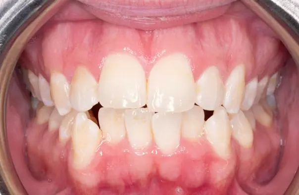
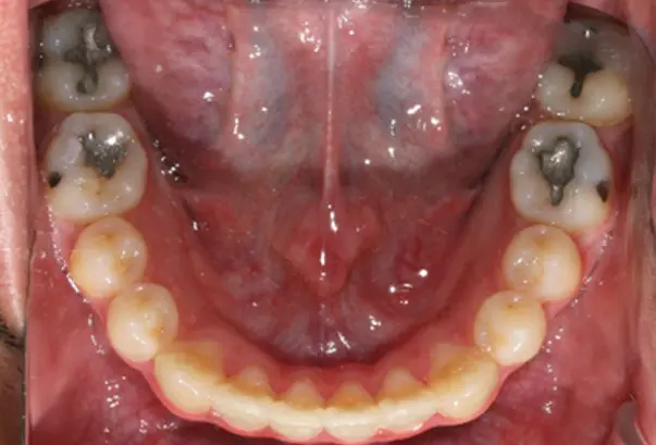
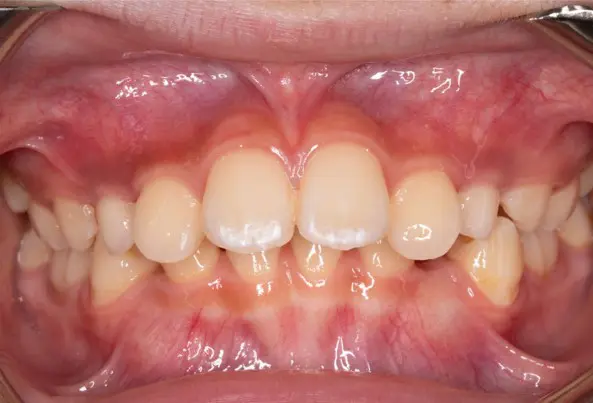
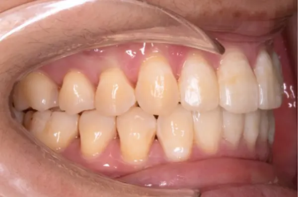
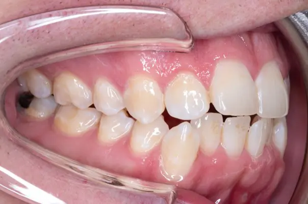
Crowding
Before
After
Open Bite
Before
After
Open Bite
Before
After
Flared Teeth
Before
After
Flared Teeth
Before
After
Flared Front Teeth
Before
After
Deep Bite
Before
After
Deep Bite
Before
After
Deep Bite
Before
After
Deep Bite
Before
After
Crowding
Before
After
Crowding
Before
After
Crowding
Before
After
Crowding
Before
After
Crowding
Before
After
Crowding
Before
After
Crowding
Before
After
Crowding
Before
After
Crowding
Before
After
Crowding
Before
After
Crowding
Before
After
Crowding
Before
After
Crowding
Before
After
Crowding
Before
After
Crowding
Before
After
Crowding

